心胸外科对肺结节、肺癌、纵隔肿瘤、胸壁畸形、胸部外伤、心脏瓣膜病等疾病的诊治具有丰富的临床经验。擅长胸腔镜下微创手术。
特色简介:
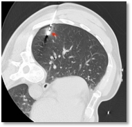
1. 肺结节/肺癌的微创治疗:
随访观察
|
胸腔镜微创手术
|
|
胸腔镜微创手术 | 手术切口 |
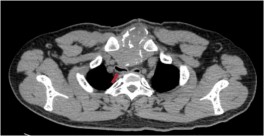
CT引导下肺结节消融术
|
|
|
CT引导下肺结节消融术 | CT引导下肺结节消融术 | 手术伤口 |
2. 纵隔肿瘤切除手术
|
|
纵隔肿瘤手术前 | 纵隔肿瘤手术后 |
3. 手汗症手术
|
|
手汗症手术前 | 手汗症手术后 |
专家介绍
刘盛华(黄埔院区门诊时间:周三下午、周五上午、周六上午)
医学博士、副主任医师、硕士研究生导师
心胸外科副主任、黄埔院区综合外科副主任、黄埔院区第二党支部书记。德国柏林心脏中心高级访问学者。广东省医师协会胸外科医师分会常委、广东省医学会胸外科分会委员、广东省医学会心血管外科分会委员、广东省医师协会心血管外科分会委员、广东省医院协会心脏血管微创外科管理专业委员会委员、广东省基层医药学会胸部肿瘤专业委员常委、广东省保健协会免疫治疗分会常委、广州市医学会胸心外科学分会常委。主持或参与多项科研项目。发表论文二十余篇。对肺结节、肺癌、纵隔肿瘤、胸壁畸形、胸部外伤、心脏瓣膜病等疾病的诊治具有丰富的临床经验。擅长胸腔镜下微创手术。
郑兴(黄埔院区门诊时间:周一上午)
主治医师
广州医科大学硕士研究生,南方医科大学博士研究生,广东省医师协会胸外科医师分会青年委员、广东省医院协会心脏血管微创外科管理专业委员会委员、广东省基层医药学会委员、广东省中西医结合学会心胸外科分会委员。发表SCI 3篇,中文核心、北核5篇,余专业论文10余篇,拥有新型发明专利3项。从事外科临床工作10余年,具有丰富的临床经验。













